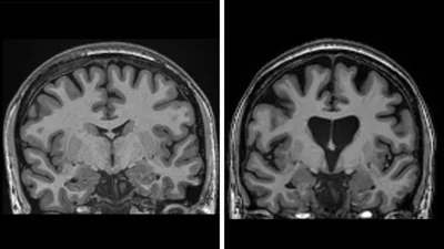
ASTANА. Кazinform — АҚШ ва Европа олимлари ва шифокорлари биринчи марта ген терапияси ёрдамида даволаб бўлмайдиган Хантингтон касаллигининг ривожланишини 4 баробарга секинлаштирди, деб хабар беради BBC.
Янги усулнинг синовларини ташкил этган uniQurе компанияси 2022 йилда жарроҳлик амалиётини ўтказган ва кейин уч йил давомида кузатилган АҚШ ва Европадан келган кўнгилли беморларда Хантингтон касаллигининг ривожланиш даражаси 75 фоизга секинлашганини маълум қилди.
Хантингтон касаллигининг биринчи белгилари одатда 30 ёшдан кейин пайдо бўлади.Бемор бу касаллик билан 20 йилдан ортиқ яшамайди.
- Одатда бир йил давом этадиган заифлашув даври бор. Даволанишдан кейин 4 йил давом этади. Бу беморларга ўнлаб йиллар умр беради. Биз клиник ривожланишни 75 фоизга секинлаштиришни ҳеч қачон орзу қилмаганмиз, - деди тажриба иштирокчиси, клиник неврология профессори ва Лондон Университет коллежи Хантингтон касалликлари маркази директори Сора Табризий.
Эслатиб ўтамиз, Хитойда камёб касалликларни даволаш учун имтиёзлар жорий қилинди.
Бекабат Узаков
Бекабат Узаков(Бегабат Ұзақов) Қазақстан Жазушылар одағының мүшесі, Ғ. Мүсірепов атындағы сыйлықтың лауреаты. Шығармалары 1987 жылдан бастап баспасөзде жарияланады. Бірнеше прозалық кітаптардың авторы. Ташкент мемлекеттік университетінің журналистика факультетін бітірген. Туындылары мен өмірбаяны Қазақстанда қазақ тілінен басқа тілдерде оқытатын мектептердің 7-сыныбына арналған “Қазақ тілі және әдебиетінде”, Өзбекстанда ЖОО-ларға арналған оқулықта оқытылуда. 2023 жылы жазушының 50 жасқа толуына орай “Биікке беттеген Бегабат” атты кітап жарық көрді. Қарақалпақстан, Өзбекстан, Қазақстан мерзімді басылымдарында қызмет еткен. 2021 жылдан бері “ҚазАқпарат” халықаралық ақпарат агенттігінде шығарушы редактор.